歯を失った部分をそのままにしておくと、隣の歯が傾いたり、噛み合う歯が伸びてきたりすることがあります。また、噛みにくさによる食生活への影響、見た目の変化による心理的な負担なども考えられます。


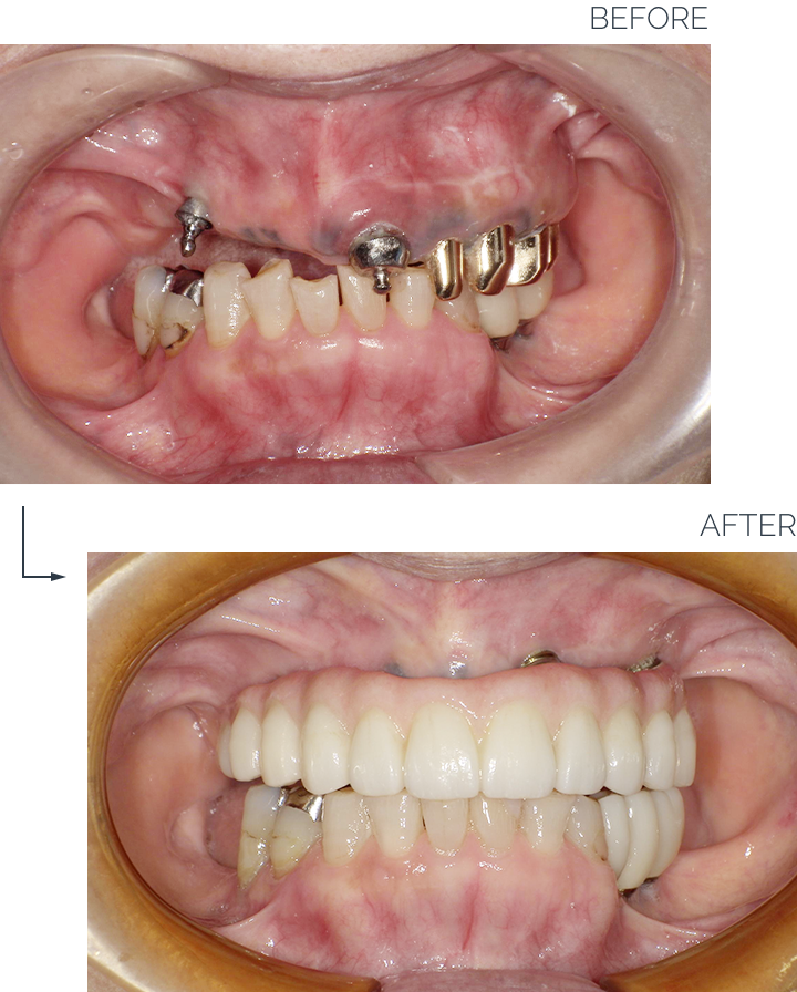
インプラント治療は、歯を失った部分に人工歯根(チタン製)を埋め込み、その上に人工歯を装着する方法です。
骨としっかり結合するため、安定した噛み心地が得られ、天然歯に近い見た目も再現可能です。
岩手医科大学歯学部卒
口腔外科領域での経験多数
日本口腔インプラント学会 等
セミナー講師実績等追加予定あり
患者さま一人ひとりの口腔内の状態や生活習慣に合わせ、最適な治療計画を立てています。痛みや不安をできるだけ軽減するよう配慮し、丁寧に説明しながら安心して治療を受けていただける環境を整えています。どんな些細な疑問にも真摯にお答えします。

当院ではスウェーデンの「ノーベルバイオケア」、スイスの「ストローマン」を主軸とし、世界的に実績ある複数メーカーを導入。安全性・品質・信頼性が高い製品を用いてインプラント治療を提供しています。

術前にCTスキャンによる精密検査を行い、3次元画像データで骨の形態・神経の位置などを詳細に把握。さらにシミュレーションソフトで手術位置・角度等を設計することで、誤差の少ない安全な治療を実施しています。

「ガイドデント」という第三者保証機関の認定を受けており、当院では10年保証が付く制度を導入。定期メンテナンスを受けていれば、破損や脱落などのトラブル時の再治療を含め、安心できる保障が整っています。

治療に強い不安がある方や痛みに弱い方向けに、静脈内鎮静法を併用でき、リラックスした状態で手術が受けられます。眠っているような感覚で、ストレス・痛みを抑えながら安全に処置が可能です。
初回相談(無料)
精密検査・CT撮影
診断・治療計画のご説明
インプラント埋入手術
治癒期間(3〜6ヶ月)
人工歯の装着
定期メインテナンス
局所麻酔や静脈内鎮静法を併用することで、多くの方が「想像よりも負担が少なかった」と感じています。
インプラントは自由診療です。治療内容や材料により異なりますので、カウンセリング時に見積りをご提示いたします。
適切なメインテナンスを続けることで長期的に使用できる場合があります。
※自由診療となります。
※症例により異なることがあります。
※医療費控除の対象となる場合があります。
※ガイドデント保証料込
※その他、検査結果により補助手術が必要な場合があります。












